Scoliosis Bukan Sekadar Masalah Tulang Belakang Yang Bengkok
Lina Rosli
Apabila sebut sahaja terma scoliosis, pasti ramai membayangkan tulang belakang yang melengkung dan masalah postur. Namun, realitinya, keadaan ini boleh memberi kesan yang jauh lebih luas – termasuk kepada pernafasan, penghadaman, dan kesihatan mental.
Di Malaysia, idiopathic scoliosis merupakan bentuk tulang belakang yang paling lazim dianggarkan menjejaskan sekitar 2 hingga 3% populasi, iaitu kira-kira 600,000 hingga 900,000 individu.

Ini tidak termasuk jenis-jenis scoliosis yang lain seperti:
- scoliosis kongenital – yang dialami sejak lahir
- degeneratif – sering dialami warga emas
- neuromuskular – berkait dengan keadaan seperti cerebral palsy dan spina bifida.
Walaupun scoliosis sering dikaitkan dengan usia remaja, kesannya sebenarnya boleh berlanjutan hingga ke usia dewasa dan memberi impak yang signifikan terhadap kualiti hidup – satu aspek yang jarang diketengahkan dalam perbincangan kesihatan arus perdana.
Menyedari perkara ini, Sunway Medical Centre Damansara (SMCD) tampil memperluaskan kefahaman masyarakat mengenai kesan sistemik scoliosis dan pentingnya diagnosis awal serta pendekatan rawatan secara multidisiplin.

Memahami Scoliosis Dan Kesan Sistemik Terhadap Tubuh
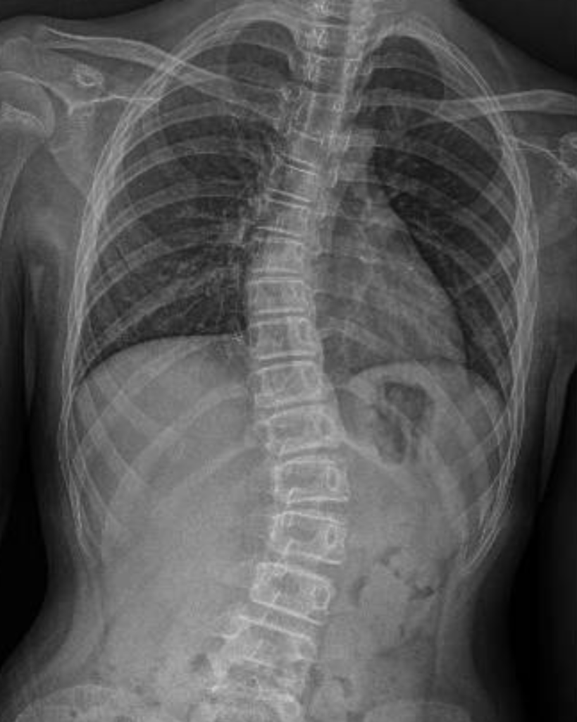
Scoliosis merujuk kepada kelengkungan tulang belakang secara lateral yang tidak normal, dan sering disertai dengan putaran vertebra. Kebanyakan kes dikenal pasti ketika usia remaja dan tahap keterukan berbeza – dari kelengkungan ringan sehinggalah melebihi 45 darjah yang memerlukan pembetulan pembedahan.
Namun, tulang belakang bukanlah struktur yang terasing – ia berhubung secara langsung dengan otot, organ penting, dan sistem tubuh lain. Menurut Dr Tan Jin Aun, Pakar Perunding Ortopedik dan Pakar Bedah Tulang Belakang di SMCD, kesan kesihatan sekunder biasanya timbul apabila kelengkungan mencecah 70 hingga 100 darjah. Pada tahap ini, ia boleh menjejaskan fungsi paru-paru atau sistem penghadaman, bergantung pada lokasi dan jenis scoliosis.
Bagaimana Pernafasan Dan Penghadaman Terganggu
Apabila kelengkungan menjadi semakin teruk, struktur tulang rusuk boleh berpusing dan menyebabkan kapasiti paru-paru mengecil, mengakibatkan penyakit paru-paru restriktif.
Untuk pengetahuan anda, kelengkungan toraks melebihi 70 darjah boleh mula menyekat pengembangan paru-paru, dan melebihi 100 darjah boleh menyebabkan sekatan paru-paru yang ketara.
Dalam masa yang sama, kelengkungan pada bahagian lumbar melebihi 90 darjah berpotensi menekan rongga abdomen, sekaligus mencetuskan simptom seperti kembung, refluks asid dan sembelit – yang sering disalah anggap sebagai masalah penghadaman biasa.

Kesan Emosi Yang Sering Terlepas Pandang
Selain kesan fizikal, kesan psikologi scoliosis juga tidak kurang pentingnya. Ramai pesakit yang mengalami kesakitan kronik, keletihan, dan had mobiliti, namun tidak menunjukkannya secara luaran. Ini sering menyebabkan tekanan emosi dalam diam – terutamanya dalam kalangan remaja yang perlu memakai alat sokongan (bracing).
Pesakit dengan scoliosis ringan biasanya sihat dan tidak menunjukkan gejala berkaitan kesihatan mental. Namun, isu harga diri boleh timbul, khususnya jika pemakaian alat sokongan diperlukan.
Untuk bracing, walaupun ia merupakan kaedah efektif secara perubatan, namun ia boleh memberi kesan sosial dan emosi terutamanya kepada pelajar sekolah. Dengan pemakaian harian yang mencecah 23 jam selama beberapa tahun, ia memerlukan persediaan mental dan sokongan daripada keluarga.
Justeru itu, keputusan untuk memulakan rawatan perlu melibatkan pertimbangan menyeluruh terhadap aspek fizikal dan emosi.
Rawatan Menyeluruh Dan Pendekatan Multidisiplin
Di SMCD, rawatan scoliosis merangkumi lebih daripada sekadar penjajaran tulang belakang. Pendekatan holistik diambil bagi melihat kesan scoliosis secara menyeluruh – termasuk fungsi pernafasan, kesihatan pencernaan dan kesejahteraan emosi pesakit.
Menurut Dr Deepak A/L Ajit Singh, Pakar Bedah Ortopedik (Pakar Pembedahan Tulang Belakang dan Pengurusan Sakit Intervensi), proses diagnosis biasanya bermula dengan pemeriksaan klinikal dan radiograf tulang belakang.
Pesakit dengan kelengkungan ringan yang telah mencapai kematangan rangka selalunya dirawat secara konservatif – melalui pemantauan berkala, fisioterapi, dan bimbingan realistik kepada keluarga. Sekiranya pembedahan diperlukan, teknologi seperti navigasi tulang belakang dan neuromonitoring digunakan untuk meningkatkan keselamatan dan ketepatan prosedur.

Namun begitu, pengesanan awal kekal sebagai kunci utama. Walaupun ada saringan di sekolah, banyak tanda-tanda awal masih terlepas pandang kerana dianggap sebagai postur buruk atau keletihan biasa. SMCD menggalakkan ibu bapa dan individu untuk mendapatkan penilaian, walaupun tiada kesakitan, terutama jika terdapat tanda seperti bahu tidak sekata, postur condong, atau bonjolan pada belakang badan.
Satu imbasan radiograf ringkas selalunya cukup untuk menentukan sama ada scoliosis wujud. Jika dikesan awal, rawatan yang sesuai boleh dirancang – sama ada pemantauan, alat sokongan, atau pembetulan melalui pembedahan.
Akhir sekali, scoliosis mungkin bermula dari tulang belakang, tetapi kesannya jauh melangkaui itu.
Dengan pendekatan holistik dan kesedaran yang meningkat, Sunway Medical Centre Damansara komited untuk memperkasa pesakit – bukan sahaja dengan penjajaran fizikal, tetapi juga dengan sokongan menyeluruh untuk kesejahteraan sebenar.